All diarrhea is not gastroenteritis – First presentation of carcinoid in ED
Darsa P Wilson; Dr Himanshu Gul Mirani
Queen's University Belfast, Nottingham University Hospitals, NHS Trust
Case Presentation:
54-year-old female with PMH of COPD, HTN, previous appendectomy and cholecystectomy, presented to
the ED with loose bowel motion for over 10 days with worsening abdominal pain. In the previous 24 hours she recollected having opened her bowels around 30 times. There was no fever, blood in stools, travel,
or sick contact. On examination she was apyrexial and abdomen was globally tender but not peritonitic.
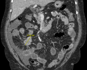
Image showing infiltrating small bowel carcinoid with tethering of bowel and mesentery (spokewheel sign) suggestive of desmoplastic reaction

Management and Outcome:
Several differentials like gastroenteritis, colitis & diverticulitis were considered. CECT abdomen/ pelvis in the ED revealed infiltrating small bowel carcinoid with desmoplastic mesenteric involvement.
Patient was admitted under the surgical team. After further evaluation with gut hormones & octreotide scan, an ileal neuroendocrine carcinoma was resected.
Key Learning Points:
"Carcinoid syndrome" is the term applied to a constellation of symptoms mediated by various humoral factors elaborated by some well - differentiated neuroendocrine tumors (NETs) of the digestive tract and lungs, which synthesize, store, and release a variety of polypeptides, biogenic amines, and prostaglandins.
